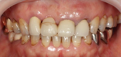
インプラントと矯正治療を行った例 インプラントの症例 2016.02.22 術前術後左上2番は歯根破折にて保存不可能だったため、抜歯後、インプラント治療。その後、インプラントを固定源とした部分矯正を行った。歯肉結合組織移植と歯肉切除を行い、歯肉ラインを整えた後、メタルボンドで修復した。共有: クリックして X で共有 (新しいウィンドウで開きます) X Facebook で共有するにはクリックしてください (新しいウィンドウで開きます) Facebook 関連